| 関連施設について | 初診・再診・リハビリについては 船橋整形外科クリニック船橋整形外科病院すぐ近く移動する |
船橋整形外科
JR西船橋駅すぐ近く |
船橋整形外科
JR市川駅南口より徒歩3分 |
フェルマータ船橋超強化型老健施設移動する |
2026.03.07
はじめに
こちらのコラムでは、拡散型衝撃波(圧力波)を用いた足底腱膜炎治療について理学療法士が解説いたします。
〜目次〜
1.足底腱膜炎とは?
2.拡散型衝撃波(圧力波)とは
3.治療の流れとリハビリテーションについて
4.さいごに(引用)
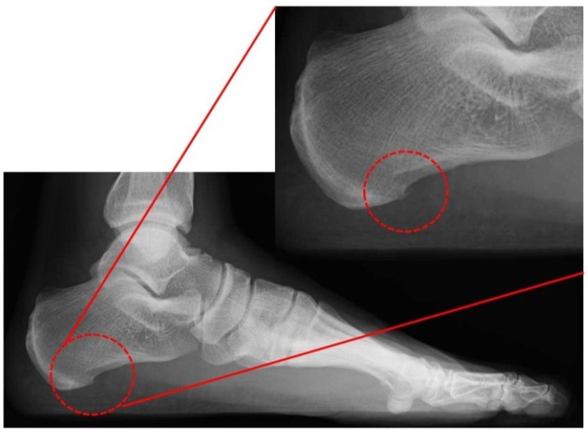
足の裏には、「足底腱膜(そくていけんまく)」という、かかとの骨から足の指の付け根まで伸びる膜状の組織があります。足底腱膜は足のアーチ(土踏まず)を支えて、衝撃を吸収して、足を安定させる役割があります。足底腱膜炎とは、足底腱膜のかかと側の付着部で炎症が起きて、痛みを生じた状態をいいます。主に荷重時の痛みであり、起床時の最初の1歩が最も痛いと訴えられる患者様が多いのも特徴です。足底腱膜炎は40~60代の方、高体重、ランニングなどで足に負担がかかりやすい方、扁平足傾向(足の土踏まずが潰れてしまっている状態)、足関節の柔軟性低下などが発症のリスク因子とされています1)2)3)。患部へ負担がかかり続けると、足底腱膜が分厚く変性(肥厚)、骨のトゲ(骨棘)の発生、腱内部の異常血管の侵入や痛みを知覚するための神経線維の過剰な増加などの変化が起こり、痛みの改善までに時間がかかる場合があります。(図1,2)。

図1 踵の骨(踵骨)に骨のトゲ(骨棘)が見られるレントゲン画像

図2 足底腱膜の変性が見られるMRI画像
近年、中々治らない足底筋膜炎の治療に体外衝撃波療法が効果的であることが科学的に実証されています。体外衝撃波には腱内部の過剰に増加した異常血管や神経線維を破壊し、肥厚、変性した足底腱膜を修復させる作用があります4)。体外衝撃波療法は主に集束型衝撃波と拡散型衝撃波(圧力波)に分けられ、当院では集束型衝撃波は医師により処方されており、6か月以上の保存療法(手術を行わないで進める治療法)に抵抗する難治性の足底腱膜炎に対しては保険適用となります。一方、圧力波による治療はリハビリ室にてリハビリスタッフが実施しています(図3)。当院においては、圧力波の治療費用は保険内のリハビリ費用に含まれます。

図3 拡散型衝撃波(圧力波)
医師により足底腱膜炎の診断が下りて、リハビリテーションが開始となります。まずは、担当する療法士が患部の状態を評価したのち、圧力波が適応であると判断した場合に実施します。照射はリハビリ通院に合わせて約週1回程度の照射を実施します。照射は2ステップを基本とします4)。ステップ1では痛みを生じている足底腱膜へ直接照射することによる腱の治療、ステップ2ではふくらはぎ全体への照射することによる柔軟性改善を目的に照射します(図4)。

図4 圧力波の照射
圧力波の治療と並行してリハビリテーションを実施します。リハビリテーションは足関節および足底腱膜の柔軟性改善や患部周囲の筋力強化などを実施します(図5)5)6)7)。圧力波とリハビリテーションを並行して実施することで、それぞれの治療を単独で行うよりもより高い治療効果が得られるとされています。

図5 リハビリテーションの具体例
足底腱膜炎は10人に1人が生涯中に発症する可能性がある、比較的身近にある整形外科疾患です8)。発症初期では痛みはありつつも、今までと同様に日常生活を過ごすことが可能であるため痛みを我慢してしまうことも多いですが、足底腱膜自体が変性してしまうと難治性の足底腱膜炎に移行してしまい、治療にかかる期間が長くなってしまいます。踵骨周囲の痛みでお困りであるなら、重症化する前に一度当院の専門医を受診してみて下さい。
執筆:船橋理学診療部 宮坂 祐樹
監修医師:高橋 謙二
引用文献
1) Riddle DL, Pulisic M, Pidcoe P, Johnson RE. Risk factors for Plantar fasciitis: a matched case-control study. J Bone Joint Surg Am. 2003 May;85(5):872-7. doi: 10.2106/00004623-200305000-00015. Erratum in: J Bone Joint Surg Am. 2003 Jul;85-A(7):1338.
2) Prichasuk S, Subhadrabandhu T. The relationship of pes planus and calcaneal spur to plantar heel pain. Clin Orthop Relat Res. 1994 Sep;(306):192-6.
3) Taunton JE, Ryan MB, Clement DB, McKenzie DC, Lloyd-Smith DR, Zumbo BD. A retrospective case-control analysis of 2002 running injuries. Br J Sports Med. 2002 Apr;36(2):95-101.
4) 日本運動器SHOCK WAVE研究会:運動器の対外衝撃波治療マニュアル,熊井司監修,105-115,日本医事新報社,2022
5) Latt LD, Jaffe DE, Tang Y, Taljanovic MS. Evaluation and Treatment of Chronic Plantar Fasciitis. Foot Ankle Orthop. 2020 Feb 13;5(1):2473011419896763.
6) Digiovanni BF, Nawoczenski DA, Malay DP, Graci PA, Williams TT, Wilding GE, Baumhauer JF. Plantar fascia-specific stretching exercise improves outcomes in patients with chronic plantar fasciitis. A prospective clinical trial with two-year follow-up. J Bone Joint Surg Am. 2006 Aug;88(8):1775-81.
7) Rathleff MS, Mølgaard CM, Fredberg U, Kaalund S, Andersen KB, Jensen TT, Aaskov S, Olesen JL. High-load strength training improves outcome in patients with plantar fasciitis: A randomized controlled trial with 12-month follow-up. Scand J Med Sci Sports. 2015 Jun;25(3):e292-300.
8) Monteagudo M, de Albornoz PM, Gutierrez B, Tabuenca J, Álvarez I. Plantar fasciopathy: A current concepts review. EFORT Open Rev. 2018 Aug 29;3(8):485-493.